Diagnostica per Immagini — Radiologia Diagnostica

Servizi di radiologia diagnostica, ecografie e diagnostica strumentale

Diagnostica per Immagini — Radiologia Diagnostica

Diagnostica per Immagini — Radiologia Diagnostica

Il Centro STS offre una gamma completa di servizi di diagnostica per immagini con apparecchiature di ultima generazione, sia in regime SSN che in libera professione.

Servizi disponibili

Radiologia

Radiodiagnostica Convenzionale

Immagini dello scheletro per diagnosi di patologie ossee, fratture, lussazioni e controlli post-operatori. Imaging di torace e organi addominali.

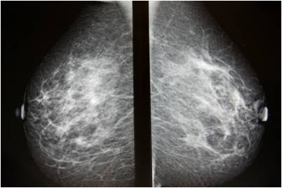
Mammografia

Mammografia

Strumento diagnostico per anomalie al seno. Raccomandata ogni due anni per donne senza storia oncologica, annualmente per chi ha storia familiare.

Endoscopia

Diagnostica Endoscopica

Gastroscopia e colonscopia per esaminare il tratto digestivo tramite tubi flessibili con fibre ottiche.

Ecografia tiroidea

Ecografia Tiroidea

Valutazione della morfologia tiroidea, processi infiammatori, noduli e vascolarizzazione tramite onde ultrasoniche.

Ecografia pelvica

Ecografia Pelvica

Esame degli organi pelvici inclusi utero, tube di Falloppio, vescica e ovaie. Utile per trattamenti di fertilità.

Ecografia mammaria

Ecografia Mammaria

Esame non invasivo complementare alla mammografia. Distingue formazioni liquide da solide.

Ecografia renale

Ecografia Renale

Determina morfologia e dimensioni dei reni. Esclude calcoli o neoplasie.

Ecografia prostatica

Ecografia Prostatica

Indaga le dimensioni e la morfologia della prostata tramite onde sonore ad alta frequenza.